See your patient in a different way


More on our website with specialists!
Revolutionizing Patient Diagnostics
Advanced detection models for orthopedic and dermatological conditions, enhancing patient care and outcomes.
Trusted by healthcare professionals.
★★★★★
Advanced Medical Detection
Innovative solutions for accurate diagnosis and patient history summarization using AI technology.
Comprehensive Surgery Planning
Plan orthopedic surgeries effectively with our preoperative surgery planner model and calculators.
Resident Education
Suitable for training orthopaedics and traumatology residents
Trained Models for Diagnosis
Identify pathologies using our well-trained detection models for accurate assessments.
Innovative Skin Solutions
Revolutionizing medical aesthetic and dermatology through advanced tech solutions.




Orthopaedics and Traumatology
Cutting-edge technology for advanced medical diagnostics and surgical planning.


ACL Detection
Detect ruptured ACLs with precision and accuracy.


Osteoarthritis Insights
Analyze knee osteoarthritis for better treatment decisions.




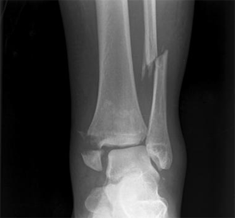
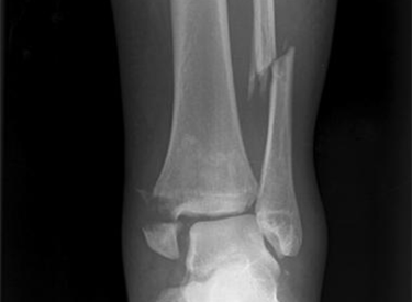
Fracture Detection
Easily detect the fractures
Surgery Planner
Plan orthopedic surgeries with advanced modeling tools.
Contact Us
Reach out for inquiries about our advanced object detection models and patient history summarization features.
PatientSum
Transforming healthcare with advanced technology.
Contact
Location
info@cepdoktorum.com
+905449497772
© 2025. Pocket Doctor Health Technologies